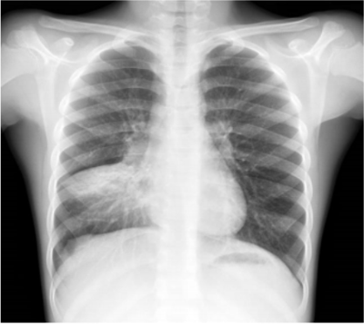
Adolescente masculino, 13 anos de idade, portador de anemia falciforme em seguimento regular com hematologista, apresenta queixa de febre e tosse há dois dias e dor em face anterior do tórax a direita. Ao exame clínico encontra-se em regular estado geral, levemente descorado, FC: 84 bpm, FR: 34 ipm, Saturação de Oxigênio: 95% em ar ambiente, Temp: 38°C, PA: 100/60 mmHg. Realizou radiografia de tórax, que mostrou a imagem abaixo:


A conduta inicial mais adequada é: