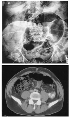
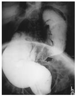
“Paciente J.A.B, masculino, 64 anos, deu entrada no Pronto Socorro com queixa de dor abdominal súbita há mais ou menos 6 horas, do tipo em cólicas em andar inferior do abdome, com distensão quase imediata. Associado, refere parada de eliminação de gases e fezes e dois episódios de vômitos com conteúdo alimentar. Nega cirurgias prévias e quadros semelhantes anteriormente. Ao exame físico apresentava-se em bom estado geral, a não ser fácies de dor, gemente, corado, levemente desidratado, frequência cardíaca de 118 batimentos por minuto e abdome globoso, distendido com ruídos hidroaéreos diminuídos, doloroso à palpação difusamente com mais intensidade em baixo ventre e hipertimpânico à percussão. Realizou radiografia simples de abdome, tomografia de abdome e radiografia de clister opaco demonstrados abaixo respectivamente”.




Ainda baseado no caso clínico acima, a primeira conduta a ser adotada é: