Questão
Estratégia MED
2020
Residência (Acesso Direto)
VER HISTÓRICO DE RESPOSTAS
4000137274
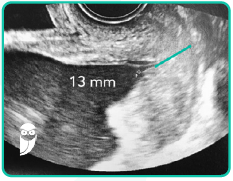
Gestante de 20 semanas, primigesta, sem comorbidades, veio realizar ultrassom morfológico do segundo trimestre com avaliação do colo uterino via vaginal e foi observada a imagem da figura abaixo.
Diante disso, qual é a conduta a ser realizada?
A
Progesterona via vaginal.
B
Cerclagem uterina.
C
Aspirina e carbonato de cálcio.
D
Enoxaparina.
E
Pessário cervical.
Responder
Ver solução e comentários