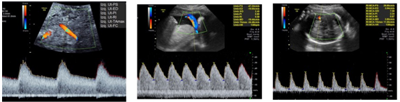
Gestante, 35 anos, primigesta, com 33 semanas de gestação, calculado pela ultrassonografia precoce, vem a consulta de pré-natal sem queixas. Ao exame físico apresenta PA 110 x 70 mmHg, altura uterina de 29 cm, BCF 140 bpm, dinâmica uterina ausente. Paciente traz ultrassom realizado com 32 semanas com peso estimado de 1350g (< percentil 3), ILA 7,8 cm, Doppler da artéria uterina, cerebral média e umbilical conforme imagem a seguir:


Indique o diagnóstico e conduta corretos.