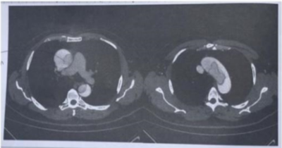
Homem, 60 anos de idade, apresenta dor torácica retroesternal de forte intensidade há cerca de 1 hora. Refere antecedente pessoal de hipertensão arterial. Ao exame clínico a ausculta pulmonar e cardíaca estão normais. Pressão arterial de 168 x 96 mmHg, frequência cardíaca de 80 bpm, frequência respiratória de 20 irpm, temperatura de 36,7ºC e saturação de 98%. Foram realizados eletrocardiograma e tomografia de tórax, exibidos a seguir. Qual deve ser a conduta neste momento?



