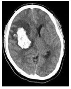
Homem de 65 anos apresenta queda da própria altura e é levado ao Pronto Atendimento. É portador de hipertensão arterial sistêmica e fibrilação atrial. Faz uso irregular de hidroclorotiazida, enalapril, anlodipino, clonidina e rivaroxabana. Ao exame físico, PA: 226X122mmHg, FC: 102bpm, FR: 22ipm. Apresenta-se sonolento, abre os olhos e verbaliza ao chamado e obedece aos comandos. Apresenta redução da força no dimidio esquerdo. Sem outras anormalidades.

Exames de laboratório: Hemoglobina 13,2g/dL; Leucócitos 11.630/mm³; Neutrófilos Segmentados: 8.548/mm³; Plaquetas 197.000/mm³; RNI 2,1; PTT 39s (controle 30s); Glicemia: 142mg/dL.
Tomografia computadorizada do crânio:

Após 4 dias de permanência no CTI, o paciente apresentou rebaixamento do nível da consciência, e foi indicada a intubação orotraqueal por sequência rápida.
Assinale a alternativa que apresenta a prescrição MAIS ADEQUADA para a sequência rápida nesse paciente: