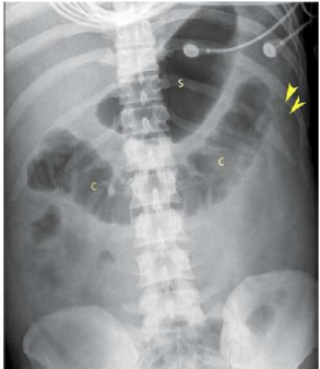
Jovem, masculino, 32 anos, é internado por episódios de vômitos de início há 24 horas, associado a dor abdominal refratária à analgésicos simples. Nega febre. Nega trauma recente. Nega sintomas urinários. Refere anorexia. Ao exame físico: regular estado geral, desidratado +++/4, corado, anictérico, afebril, taquicárdico. Ausculta pulmonar normal. Abdome com cicatriz prévia de laparotomia mediana por trauma (há 3 anos), distendido, ruídos abdominais muito reduzidos, doloroso em epigástrio e todo andar superior, mas sem sinais de peritonite. Realizou radiografia (abaixo) e foi submetido a ultrassonografia que visualizou vesícula biliar com parede de 3 mm, com cálculos em seu interior, múltiplos, todos com tamanho menor que 5 mm, e ducto colédoco com 4 mm. O pâncreas não foi visualizado por interposição gasosa. A principal hipótese diagnóstica e o tratamento mais adequado é:

