Questão
SP - Universidade Estadual Paulista - UNESP (Faculdade de Ciências Médicas e Biológicas de Botucatu - FCMBB) (Hospital das Clínicas da Faculdade de Medicina de Botucatu)
2019
Residência (Acesso Direto)
VER HISTÓRICO DE RESPOSTAS
4000120017
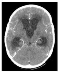
Menina de 6 anos encontra-se internada para tratamento de meningite bacteriana com ceftriaxone há cinco dias. Hoje, voltou a apresentar cefaleia holocraniana e vômitos, realizando tomografia de crânio. A conduta é


A
ampliar espectro antimicrobiano.
B
colher novo líquor para repetir cultura.
C
introduzir manitol e corticoesteroide.
D
realizar derivação ventricular.