Menino, 3 anos de idade, com antecedente de prematuridade extrema, hemorragia periventricular grau III e hidrocefalia com derivação ventrículo peritoneal (DVP) colocada no primeiro mês de vida, trocada pela última vez há 3 meses. Tem epilepsia bem controlada e faz uso regular de ácido valpróico e Iamotrigina. Ele foi trazido ao Pronto- Socorro devido a quadro de hipoatividade e sonolência há 4 dias, e vômitos hoje. No trajeto do hospital, iniciou crise epiléptica tônico-clônica generalizada, semelhante às anteriores, porém com duração mais prolongada. Na admissão, paciente ainda em crise epiléptica, apresentando os seguintes dados de avaliação inicial: FC 110 bpm, saturação de 94% em máscara não reinalante, afebril, PA: 136 x 80 mmHg, mucosas secas, preenchimento capilar periférico de 6 segundos, glicemia capilar de 55 mg/dL. Sem alterações na propedêutica cardíaca, pulmonar e abdominal. Sem outras alterações ao exame clínico. Peso: 12kg.

Após estabilização inicial e controle da crise epiléptica, foram vistos os resultados dos exames coletados na admissão ao Pronto Socorro:
Sódio: 130 mEq/L, Potássio: 4,5 mEq/L; Ureia: 30 mg/dL; Creatinina 0,4 mg/dL
Gasometria venosa: pH 7,30; Bicarbonato 18 mEq/L
Glicemia 80 mg/dL
Urina tipo 1: pH 6,0, densidade: 1.030, leucócitos: 1.000/mL, hemácias: 1.000/mL, nitrito negativo.
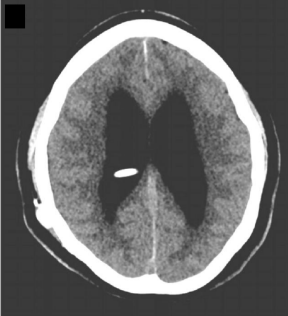
Exame de imagem abaixo:

Referência: doi: 10.1542/pir.2015-0134
Ao exame clínico: Regular estado geral, sonolento e confuso, ao estímulo apresenta abertura ocular e localiza a fonte, PA: 130 x 70
mmHg, FC 70 bpm, FR 26 ipm, pupilas isocóricas e fotorreagentes. Restante do exame clínico inalterado.
Frente aos dados apresentados, qual é o diagnóstico principal e a respectiva conduta?