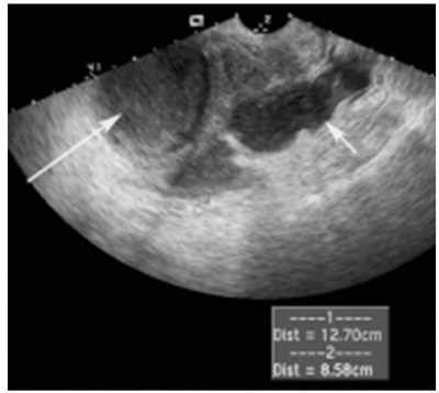
Mulher de 21 anos de idade, sem comorbidades prévias, procura atendimento em unidade de emergência por quadro de dor pélvica há 2 dias. A dor é localizada em quadrantes inferiores do abdome, sendo descrita como uma cólica de intensidade moderada (5/10), sendo mais intensa à esquerda. Além disso, apresentou febre, náuseas e um corrimento genital amarelado no mesmo período. Nega outros sintomas gastrointestinais ou urinários. Ela notou que os sintomas começaram após ter tido algumas relações sexuais desprotegidas na última semana. Tem vida sexual ativa, sem parceiro fixo e com uso irregular de condom. Tem história prévia de uma gestação, com parto normal sem complicações há 2 anos. Desde então, vem em uso de dispositivo intrauterino (DIU) de cobre, sendo que a última menstruação ocorreu há cerca de 10 dias. Ao exame, apresentou febre (Tax = 38,6ºC), PA 110x70mmHg e FC 96 bpm. O abdome é doloroso à palpação em quadrantes inferiores, sem dor à descompressão brusca. Ao toque vaginal, apresenta útero em anteversoflexão, de tamanho, consistência e mobilidade normais. O colo uterino é fibroelástico e doloroso à mobilização, com anexo esquerdo doloroso à palpação e anexo direito não palpável. Ao exame especular, foi vista saída de secreção purulenta do orifício externo do colo uterino, sendo visualizados fios do DIU de aproximadamente 2cm. Foi feita uma ultrassonografia point-of-care, cuja imagem da região anexial esquerda pode ser vista na imagem a seguir (página ao lado):


Qual é o diagnóstico e o tratamento que devem ser feitos neste momento?