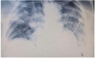
Mulher de 26 anos foi vítima de colisão de motocicleta com automóvel em alta velocidade. Apresent ava contusão pulmonar bilateral e choque hemorrágico, com necessidade de esplenectomia. Não teve lesão intracraniana. Foi extubada no 5o pós-operatório. No 8o pós-operatório, já em programação de alta da unidade de terapia intensiva (UTI), apresentou piora do quadro clínico. Ficou confusa e teve agitação psicomotora grave. Frequência respiratória: 38 incursões por minuto, respirando com uso de musculatura acessória. Gasometria, feita com nebulização de O2 por máscara do tipo Venturi, com fração inspirada de O2 de 50%: saturação de O2: 90%, paO2: 60 mmHg. Pulso: 110 bpm, PA: 90x50 mmHg, tempo de enchimento capilar: 3 segundos, temperatura axilar: 37,9oC. Função renal preservada, com surgimento de leucopenia no hemograma. Ecocardiograma: sem alterações. Com a radiografia ilustrada a seguir, foi fechado o diagnóstico de síndrome da angústia respiratória do adulto (SARA). Qual o grau de SARA, o diagnóstico etiológico mais provável e as condutas apropriadas que devem tomadas?

