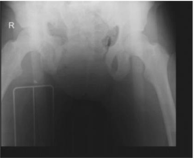
Mulher de 33 anos de idade foi atropelada por automóvel, há 30 minutos. Ela foi atendida no local do acidente pela equipe avançada do resgate. No início do atendimento no local do acidente, a paciente estava inconsciente, com pressão arterial = 80 x 50 mmHg; frequência cardíaca = 110 bpm. Naquele momento, foi realizada a intubação orotraqueal e administrado 1 litro de cristaloide em acesso venoso periférico. O resgate trouxe a paciente ao pronto-socorro de um hospital terciário. Foi admitida no pronto-socorro com pressão arterial inaudível e frequência cardíaca = 140 bpm. Na sala de emergência, foram realizados FAST e radiografia de tórax, que resultaram normais, e a radiografia de bacia que está exibida abaixo. Após a reposição de hemoderivados e fechamento da bacia com lençol, qual é a sequência de condutas adequada ao caso?

