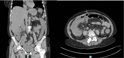
Mulher, 64 anos de idade, se queixa de dor abdominal difusa de forte intensidade há 24 horas, acompanhada de febre e diarreia sem sangue. Nega sintomas urinários. Antecedente de internação prévia há 1 mês devido a pneumonia. Refere tabagismo. Tem hipertensão arterial sistêmica e diabete melito, controlados com medicamentos. Ao exame físico: Regular estado geral, FC:110 bcp, FR: 16, PA: 100x70 mmHg; Ausculta torácica sem alterações. Abdome distendido, doloroso com sinais de irritação peritoneal difusamente. Exames bioquímicos: Hb: 11,3 g/dL; Leuco: 19,57 mil/mm³; PCR: 60mg/dL; Creat: 2,19 mg/dL; Ureia: 141 mg/dl; Lactato: 28 mg/dL; Gasometria sem outras alterações; Tomografia de abdome:


Qual é a principal hipótese diagnóstica?