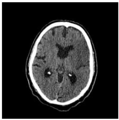
Mulher de 68 anos de idade é hipertensa, em uso de losartana 50 mg ao dia, e diabética, em uso de metformina 1.000 mg ao dia. Apresentou subitamente, há 5 horas, cefaleia holocraniana de moderada intensidade, latejante, além de dificuldade para mover o membro superior e inferior direitos e desvio de rima labial para a esquerda. No exame clínico: bom estado geral, consciente, orientada temporal e espacialmente, afebril, acianótica e anictérica. Pressão arterial = 150 x 102 mmHg; pulso = 72 bpm, irregular. Ausculta cardíaca com bulhas arrítmicas e normofonéticas em dois tempos, sem sopros. Apresenta hemiparesia completa e proporcionada grau 3 à direita, disartria, anomia e hemi-hipoestesia completa à direita. O restante do exame clínico está sem alterações. Foram realizados os exames a seguir:


Tomografia de crânio

Eletrocardiograma (12 derivações)

Considerando a principal hipótese diagnóstica, o tratamento da fase aguda deverá ser feito com: