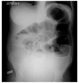
Mulher de 69 anos foi atendida com queixa de dor abdominal em cólica havia 3 dias, acompanhada de distensão, náuseas, hiporexia e parada de eliminação de flatos e fezes. Relatou que, havia cinco meses, apresentava emagrecimento e episódios de dores abdominais, associados a obstipação intestinal. Tem antecedente de hipertensão arterial sistêmica e está em uso de losartana 50 mg/dia. No exame físico, apresentava-se consciente, contactuante, descorada ++/4, desidratada +/4, abdome distendido, globoso, hipertimpânico em andar superior, levemente doloroso, com massa palpável em hipogástrio, descompressão brusca negativa. Realizou exames laboratoriais e radiografia de abdome, cuja imagem é apresentada a seguir.


Considerando as informações desse caso e a imagem anterior, assinale a opção que indica corretamente o diagnóstico e o achado de imagem, respectivamente.