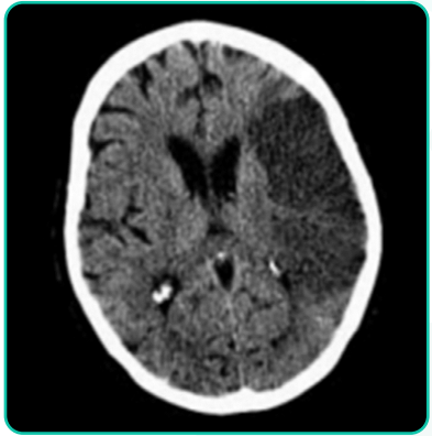
Mulher de 75 anos de idade é hipertensa em uso de enalapril 20 mg, 2 vezes ao dia, e diabética em uso de metformina. Apresentou, há 5 horas, hemiparesia direita associada com desvio de rima para a esquerda e dificuldade de falar. No exame clínico: bom estado geral, consciente, desorientada temporal e espacialmente, afebril, acianótica e anictérica. Pressão arterial = 180 x 100 mmHg; pulso = 110 bpm, irregular. Ausculta cardíaca com bulhas arrítmicas e normofonéticas em dois tempos, sem sopros. Apresenta hemiparesia completa e desproporcionada à direita, disartria, afasia motora e hemi-hipoestesia completa. O restante do exame clínico está sem alterações. Foi realizado ECG de 12 derivações que confirma a impressão de fibrilação atrial e TC de crânio (a seguir). A angioTC revela oclusão da artéria cerebral média esquerda. Sobre o quadro em questão, qual das alternativas está correta?

