Questão
Estratégia MED
2026
VER HISTÓRICO DE RESPOSTAS
4000200841
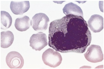
Observe a imagem a seguir, que representa uma lâmina de esfregaço sanguíneo corada com Giemsa:
Figura: Células do sangue. Fonte: Arquivos Estratégia Med.
A grande célula nucleada presente na imagem é classificada como:
A
Eritrócito.
B
Basófilo.
C
Eosinófilo.
D
Neutrófilo.
E
Monócito.
Responder
Ver solução e comentários