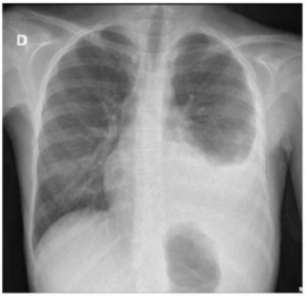
Paciente de 10 anos, feminino, previamente hígida, apresenta tosse e coriza há 7 dias e febre há 5 dias, prostração e dor abdominal há 2 dias. Nega trauma ou qualquer lesão ou infecção prévia ao quadro atual. Ao exame físico está em regular estado geral, pálida, com FC: 120 bpm, FR: 31 ipm, discreta tiragem de fúrcula sem outros sinais de desconforto respiratório. Ausculta cardíaca sem alterações, ausculta pulmonar com crepitações, diminuição de murmúrio vesicular e da ausculta da voz em base esquerda. Abdome flácido, levemente doloroso à palpação profunda. Oximetria de 95% em ar ambiente. Solicitado teste rápido para influenza A positivo. Hemograma e proteína C reativa (abaixo) e hemocultura (em andamento) e Raio X de tórax em pé e decúbito lateral esquerdo (abaixo).






Considerando o quadro descrito e questões epidemiológicas, assinale a alternativa que descreve o diagnóstico e agente(s) etiológico(s) mais provável.