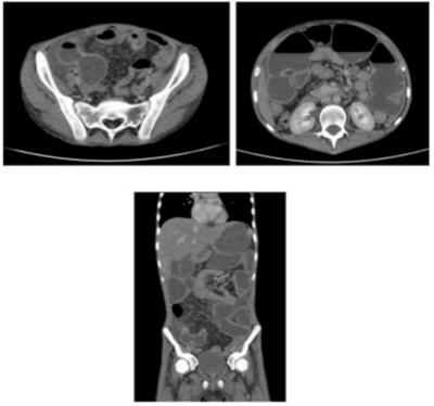
Paciente de 17 anos, IMC: 20 kg/m², vai ao pronto-socorro com dor abdominal difusa há 6 meses, contínua, de leve a moderada intensidade, associada a diarreia intermitente, náuseas e vômitos, inapetência, perda ponderal importante e edema de membros inferiores até raiz de coxa. Piora súbita da dor abdominal há 1 dia, localizada em epigástrio e mesogástrio, em cólica. Nega febre, nega demais queixas. Sem morbidades, internações ou cirurgias prévias. Ao exame físico: Regular estado geral, descorado, desidratado, afebril, anictérico, acianótico, eupneico, taquicardíaco e caquético. Abdome plano, tenso (em tábua), descompressão brusca positiva. Os membros mostram edema simétrico até joelho 2+/4+, compressível. Exames laboratoriais: Hemoglobina: 9,1 g/dL, Leucócitos: 21.650/mm³ (Neutrófilos: 94%, bastonetes: 10%; 84% segmentado), albumina: 3,9 g/dL. Foi submetido a tomografia, conforme imagem. Submetido a laparotomia mediana não houve instabilidade hemodinâmica durante a operação. Os achados foram os seguintes: moderada quantidade de líquido purulento em goteira parietocólica direita e pelve. Grande dilatação de alças jejunais a 1,80 m do ângulo de Treitz, evidenciado segmento de 60 cm de jejuno contendo sete áreas estenóticas, sendo a mais proximal perfurada e bloqueada na sua borda contra mesentérica, recoberta por fibrina. Cólon hipoplásico em toda sua extensão (desuso). Restante dos órgãos e estruturas de aspecto macroscópico normal. Melhor conduta, dentre as abaixo:

