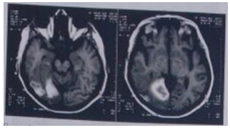
Paciente de 27 anos de idade foi levado ao pronto-socorro em razão de perda progressiva da capacidade de realizar atividades laborais e domiciliares em contexto de meses, acompanhada por sonolência e cefaleia constantes. Foi realizada tomografia computadorizada em regime de urgência, com laudo ainda não disponível, representada a seguir (conforme imagem do caderno de questões). Com base nas informações apresentadas, assinale a alternativa que indica, respectivamente, a melhor hipótese diagnóstica para esse caso e um exame que a reforçaria:

