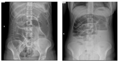
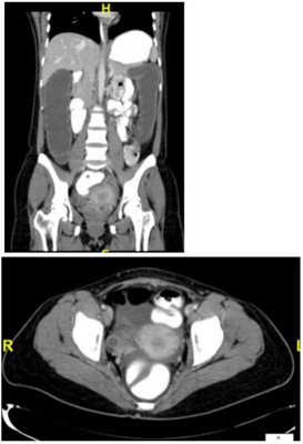
Paciente feminina de 62 anos queixando-se de dor abdominal difusa há 4 dias, em cólicas, associada a distensão abdominal e vômitos fétidos e escuros. Relata que há 4 meses vem apresentando alguns episódios esporádicos de sangramento nas fezes, bem como redução da frequência evacuatória. Nega febre. Nega trauma. Nega cirurgias prévias. Ao exame físico: regular estado geral, descorada, desidratada, anictérica, afebril. Semiologia cardíaca e pulmonar normais. Abdome distendido, com ruídos, doloroso a palpação difusa, sem sinais de irritação peritoneal. Toque retal nota-se lesão ulcerada circunferencial distando 5 centímetros da borda anal. Foras realizadas as radiografias e a tomografia de abdome e pelve abaixo. A conduta mais adequada para este caso é:



