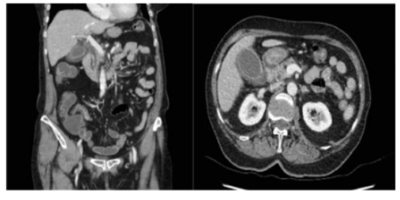
Paciente feminina, 72 anos, é trazida por familiares com história de dor abdominal de início há 5 dias, inicialmente periumbilical, inespecífica, associada a vários episódios de vômitos, hiporexia, febre e queda do estado geral. Hoje apresentou piora da dor e foi trazida pelos seus familiares devido à confusão mental. Nega colúria e acolia fecal. Nega sintomas urinários. Nega trauma. É hipertensa, diabética, portadora de fibrilação atrial e faz uso regular de enalapril, metformina, amiodarona e warfarina. Ao exame físico: mau estado geral, descorada, desidratada, taquipneica, anictérica, acianótica, febril. Bulhas cardíacas arrítmicas, taquicárdicas. Murmúrio vesicular presente bilateral, sem ruídos adventícios. Abdome distendido, mas depressível, doloroso difusamente, sem sinais de irritação peritoneal, com plastrão palpável em quadrante superior direito. Extremidades frias e mal perfundidas. Confusa, sonolenta, desorientada, com 12 pontos na escala de coma de Glasgow. Foi admitida em sala de emergência, aberto protocolo de sepse, realizado expansão com cristaloides, coletado culturas e lactato e iniciado antibioticoterapia empírica. Sinais vitais: PAM: 60 mmHg / FC: 125 bpm / FR: 26 ipm / T: 38,5°C / Sat O2: 85% em ar ambiente. Exames séricos: leucocitose 22.000 /mm3, amilase e lipase normais, provas de injúria hepática (AST e ALT) discretamente elevadas, sem sinais laboratoriais de obstrução canalicular. Lactato de admissão aumentado 3 vezes o valor de referência. Relação pO2/FiO2: 235. Sob suspeita de sepse de foco abdominal, foi submetida à tomografia com contraste abaixo. Assinale a principal hipótese diagnóstica.

