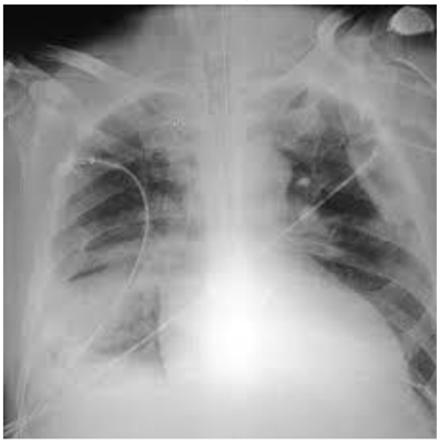
Paciente idoso, acamado, com demência de Alzheimer avançada, foi encaminhado ao pronto-socorro devido a tosse com expectoração e hipoatividade. Na chegada, apresentava sinais vitais estáveis, exceto por estertor crepitante em hemitórax direito. Foi realizado RX, com o seguinte achado. Cite a(s) medicação(ões) que deve(m) ser prescrita(s) no tratamento dessa patologia.
