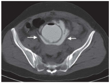
Paciente jovem é vítima de trauma abdominal fechado de alta energia cinética. Durante o atendimento inicial foi visualizado uretrorragia e edema importante de região perineal. Permanece estável hemodinamicamente e realizou a tomografia abaixo após instilação retrógrada de contraste hidrossolúvel por meio de sonda Foley.


Sobre os achados acima, assinale a alternativa correta.