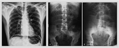
Paciente masculino, 30 anos, encaminhado a unidade de pronto atendimento de nível secundário devido a hipótese de abdome agudo obstrutivo por bridas. Queixa-se de dor abdominal súbita há 8 horas, intensa, em facada, em andar superior do abdome, associada a um episódio de vômito, com piora progressiva durante a observação, sem melhora com analgésicos. Nega trauma recente. Tem histórico de laparotomia prévia por ferimento de arma de fogo. Ao exame físico: regular estado geral, desidratado, taquicárdico, afebril. Semiologia cardiopulmonar normal. Abdome distendido, doloroso difusamente, tenso, com defesa involuntária à palpação. São realizadas as radiografias de abdome agudo abaixo: A melhora conduta para este caso é:

