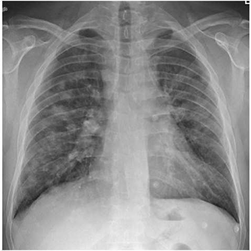
Paciente masculino, 32 anos, é atendido na emergência com história de que há 3 dias iniciou quadro de febre alta, coriza e odinofagia. Nas últimas 24h evoluiu com tosse, hemoptoicos e dispneia. Tabagista 5 anos-maço. Asmático controlado com beclometasona inalatória. Ao exame: consciente, taquipneico com saturação de pulso de oxigênio de 91% em ar ambiente, frequência cardíaca de 116 bpm e pressão arterial 130 x 80 mmHg. Ausculta respiratória evidencia sibilos difusos. A radiografia de tórax é apresentada abaixo (VER IMAGEM). A conduta que mais provavelmente barrará a progressão da doença será:

