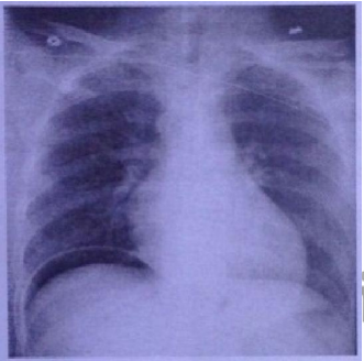
Paciente masculino de 65 anos de idade foi submetido à gastrectomia total por causa de adenocarcinoma gástrico em pequena curvatura. Tinha antecedentes de hipertensão arterial sistêmica usando losartana 50 mg/dia e diabetes mellitus não insulino- dependente e controlado com metformina 500 mg 2X dia e dietoterapia. Estava evoluindo satisfatoriamente nos dias subsequentes. No 4º dia de pós-operatório evoluiu com febre e dor abdominal difusa, apresentou-se ao exame físico com FC: 124 bpm, FR: 28 irpm, temperatura axilar de 39º C e pressão arterial de 80/50 mmHg. Ao exame respiratório, apresentava estertores inspiratórios em bases pulmonares com diminuição do murmúrio vesicular. Havia dor à palpação abdominal difusa, presença do sinal de Joubert e descompressão brusca no andar superior do abdome. Os ruídos hidroaéreos estavam diminuídos. Radiografia de tórax realizada durante o quadro: (VER IMAGEM) Em relação ao caso, assinale a afirmativa correta.

