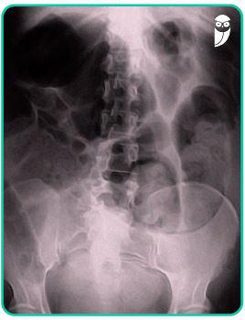
Paciente masculino, 67 anos, admitido na emergência queixando-se de dor abdominal em cólica, iniciada há 4 dias, com piora progressiva desde então. Refere que há 5 horas vem apresentando vômitos “esverdeados” e que não evacua desde o início do quadro, e hoje não eliminou flatos. Relata ainda que apresentou dois episódios de hematoquezia nos últimos 04 meses. Nega comorbidades conhecidas. Ao exame físico: REG, descorado 2+/4+, desidratado 2+/4+, anictérico, afebril. FC 102 bpm. PA 110 x 80 mmHg. FR 16 irpm. Abdome globoso, distendido, doloroso à palpação, timpânico. Sem sinais de irritação peritoneal. Toque retal: massa palpável na luz retal, endurecida, a cerca de 06 cm da borda anal, estenosante. Exames complementares: Hb 8,9 / Ht 26,7 / Leucócitos 12.500 cel/mm3, sem desvio / Cr 1,2 / Ur 40 / Na 143 / K 3,9. Realizada radiografia de abdome (imagem a seguir) e tomografia computadorizada de abdome e pelve com contraste, que identificou tumor no reto, de aproximadamente 5 cm de extensão, estenosante, provável T3. Sem sinais de doença hepática ou peritoneal.


Qual das medidas abaixo é a mais indicada como tratamento inicial?