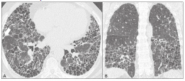
Paciente do sexo masculino, de 65 anos, procura atendimento médico por dispneia progressiva há oito anos até pequenos esforços. mMRC 3, associado com edema de membros inferiores bilateral, e tosse seca esporádica. Nega tabagismo. Nega contato com fogão a lenha. Nega criação de aves. Nega contato com mofo. Trabalha durante toda a vida em vendas de utensílios domésticos. Exame físico: saturação periférica de oxigênio: 88%. Bom estado geral, baqueteamento digital, ausculta pulmonar com estertores finos bibasais, edema em membros inferiores bilateral e simétricos 2+/6+, sem sinais de empastamento das panturrilhas. Sem outras alterações. Traz resultados de exames. Exames laboratoriais: sorologia HIV negativa, hepatite B e C negativas, FAN não reagente, FR negativo. Ecocardiograma: fração de ejeção 65%, PSAP (pressão sistólica de artéria pulmonar) 45 mmHg, aumento das câmaras direitas com disfunção sistólica de ventrículo direito, sinais indiretos com alta probabilidade de hipertensão pulmonar, sem alterações em câmaras esquerdas. Cintilografia de perfusão pulmonar: baixa probabilidade de embolia pulmonar. Espirometria: distúrbio ventilatório restritivo acentuado. Tomografia de tórax: opacidades reticulares finas, com bronquiectasias e bronquioloectasias de tração e cistos de faveolamento, padrão de distribuição predominantemente periférico e basal.


Qual é o diagnóstico desse paciente?