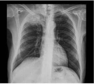
Paciente, sexo masculino, 65 anos de idade, hipertenso e tabagista 60 anos/maço, vem encaminhado da UBS por apresentar, há 3 meses, tosse seca, pletora facial e edema de membros superiores. Relata ainda 3 episódios sincopais no último mês, após acessos de tosse. Ao exame físico, apresenta bom estado geral, pletórico, turgência jugular bilateral. MVF. BRNF em 2 tempos. Abdome sem alterações. Edema de membros superiores 2+/4+. TC de crânio demonstra lesão expansiva intracraniana. A radiografia de tórax apresenta a imagem a seguir. De acordo com o quadro descrito, cite um achado da radiografia de tórax.

