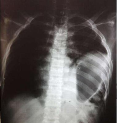
Paciente vítima de atropelamento apresenta-se com redução do murmúrio vesicular a esquerda, estável hemodinamicamente, consciente, orientado e com escoriações abdominais. A radiografia de tórax na sala do trauma é a que se segue: (VER IMAGEM). A Conduta mais adequada é:

