Questão
MA - Hospital São Domingos - HSD
2022
Residência (Acesso Direto)
VER HISTÓRICO DE RESPOSTAS
4000192353
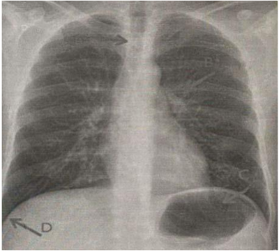
Qual a melhor sequência define as estruturas anatômicas apontadas (A, B, C e D)
abaixo:
A
(A) esôfago, (B) hilo pulmonar esquerdo, (C) bolha gástrica, (D) seio costofrênico
direito.
B
(A) traqueia, (B) hilo pulmonar esquerdo, (C) bolha gástrica, (D) seio costofrênico
direito.
C
(A) traqueia, (B) hilo pulmonar esquerdo, (C) bolha gástrica, (D) seio costofrênico
esquerdo.
D
(A) traqueia, (B) aorta, (C) bolha gástrica, (D) seio costofrênico direito.
E
(A) pulmão, (B) coluna vertebral, (C) bolha gástrica, (D) seio costofrênico direito.
Responder
Ver solução e comentários