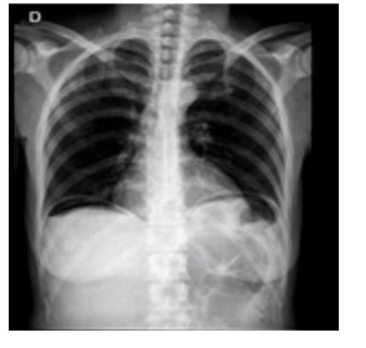
Um homem de 45 anos, sem antecedentes médicos relevantes, refere dor abdominal de início súbito há cerca de 12 horas. A dor foi piorando, sendo acompanhada de náuseas e vômitos. Nega febre ou alteração da urina ou do hábito intestinal. É tabagista e etilista. Refere uso de anti-inflamatório por dor nas costas, nos últimos 15 dias. Está descorado +/4+. PA: 100 × 60 mmHg; FC: 110 bpm. O abdome é rígido, com DB +. Feita a radiografia ilustrada a seguir. (VER IMAGEM) Principal hipótese diagnóstica e melhor conduta:

