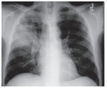
Uma mulher de 22 anos de idade, mora com seu único filho de 3 anos de idade, refere ter múltiplos parceiros e faz prevenção ocasional de DST com preservativos masculinos. A paciente procurou uma Unidade Básica de Saúde (UBS) com queixa de dispneia e tosse que ocorre há 3 meses, inicialmente seca, tendo evoluído com expectoração mucopurulenta e presença de sangue. Ela relata perda de apetite, febre de até 38,5 °C, principalmente no período da tarde, e sudorese noturna. Informa ainda que recebeu o diagnóstico de HIV há 2 anos. Faz uso de medicação antirretroviral de forma irregular há 6 meses. O exame físico pulmonar da paciente mostrou: murmúrio vesicular presente, distribuído difusamente com roncos ocasionais que melhoram com a tosse. Contagem de células CD4: 242 células/mm³ (valor de referência: superior a 900 células/mm³) e radiografia do tórax, como mostra a imagem a seguir.


Considerando o quadro clínico apresentado pela paciente e as condutas a serem adotadas pelo médico após a confirmação diagnóstica do quadro pulmonar, avalie as afirmações a seguir.
I. Notificar o estado da mãe imediatamente ao Conselho Tutelar, devido à situação de vulnerabilidade do filho.
II. Internar a paciente, devido à gravidade do quadro clínico e história de baixa adesão ao tratamento.
III. Manter o sigilo das informações da paciente perante os outros membros da equipe de saúde.
IV. Indicar tratamento diretamente observado (DOTS) à paciente, para garantia da sua adesão.
V. Solicitar à mãe que leve seu filho à UBS para rastreamento.
É correto apenas o que se afirma em