Questão
MG - Processo Seletivo Unificado - PSU MG
2011
Residência (Acesso Direto)
VER HISTÓRICO DE RESPOSTAS
4000031088
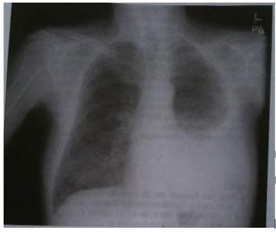
As seguintes alterações podem ser encontradas ao exame físico do paciente cuja radiografia (VER IMAGEM), em correspondência com a área de hipotransparência:
A
Expansibilidade simétrica e frêmito tóraco-vocal reduzido.
B
Frêmito tóraco-vocal aumentado, expansibilidade reduzida.
C
Som maciço à percussão e sons respiratórios aumentados.
D
Sons respiratórios e frêmito toracovocal abolidos.
Responder
Ver solução e comentários