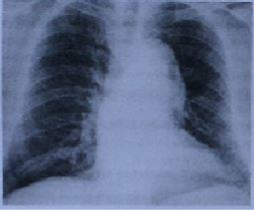
Um senhor hipertenso de 71 anos apresenta dor torácica súbita e intensa na ausência de alterações eletrocardiográficas, com a imagem radiográfica de tórax apresentada abaixo. Um ecocardiograma transtorácico realizado à beira do leito não identificou alteração contrátil segmentar do ventrículo esquerdo ou derrame pericárdico; a pressão sistólica arterial pulmonar foi normal. Qual exame mais indicado para esclarecimento do quadro?

